Ai 画像 診断
筑波大学 お知らせ 情報 注目の研究 皮膚腫瘍の良悪性を判定する人工知能診断補助システムを開発 専門医よりも正確な診断が可能に
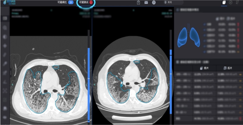
意外に多い画像診断での病変見落とし Aiが助ける お金のキャンパス
対話型ai チャットボットによるai診断サービス Aiチャットボット事例 Cognigy コグニジー
新型肺炎をaiで診断支援 中国のit企業が武漢市の医師らとシステムを開発 日経クロステック Xtech
自宅で事前問診可能な Ai受診相談ユビー新型コロナウイルス版 を無償提供開始 一般社団法人日本医療受診支援研究機構のプレスリリース
Nttデータとメッドサポートシステムズ 脳mri撮影画像診断領域でai画像診断支援ソリューションの実証実験を開始 Iot News
Hero X たった1分で病理診断が可能に Aiで医療を変革する会社 メドメイン に注目 前編
医療診断におけるai 人工知能 30年 画像認識 有力企業 医療用途 見通し Idtechex
Covid 19のトリアージ 胸部x線画像を正常と診断するbehold Aiのai技術 医療とaiのニュース 最新記事 The Medical Ai Times
Fvld3s0 Dkzjtm
エルピクセルの 脳動脈瘤診断支援ai が上市 ディープラーニングaiとして初 Med It Tech
Aiによる眼科画像診断支援サービスを展開するdeepeyevision Ai 人工知能ベンチャー支援制度 Ai Accelerator に採択 Deepeyevision株式会社のプレスリリース
Aiは認知症にどこまで立ち向かえるのか Digitalist デジタリスト
アリババ 新型肺炎の新たなai診断技術を開発 正確度96 中国 Dg Lab Haus
グーグル 肺がん診断でのai活用を検証 放射線科医より高い検出率 低い誤検出率 Cnet Japan
新型コロナの日本語版ai診断支援ソフトが登場へ でも国内利用にはあの 壁 が 日経クロステック Xtech
Ai事前診断 ネット住宅ローン事前診断 みずほ銀行
aiで新型コロナ肺炎を診断 岡山大大学院の河原教授ら開発 山陽新聞デジタル さんデジ
aiで患者を診断すると 回復率が70 も向上 東亜日報
ai 医師を上回る診断精度も 全自動治療の時代来る 朝日新聞デジタル
エムスリー 新型コロナ肺炎の診断支援aiで医療機器承認取得 4カ月間の無償支援も受付 Med It Tech
Ai 画像診断 進化探る 新興のエルピクセル 日本経済新聞
Aiによる眼科画像診断支援サービスを展開するdeepeyevision Nvidia Inception Program パートナー企業に認定 Deepeyevision株式会社
日本進出はいつ 緊急時に命を救う Ai診断 次世代ユニコーン コルティ の挑戦 Itmedia ビジネスオンライン Yahoo ニュース
インド医療機関にてai画像診断支援の実証実験を完了 Nttデータ
東芝の 疾病リスク予測aiサービス はaiが健康診断結果から6年先の生活習慣病の発症リスクまで予測する ロボスタ
Eirl エイル Ai画像診断支援技術 エルピクセル株式会社 Eirl エイル は Ct Mri 病理画像などの医療画像を中心に多様な医療ビックデータを活用し 独自の人工知能 Ai アルゴリズムで医療画像診断支援技術を研究開発しています 医療機器としての承認をめざし
教育ai賞受賞 トライ式ai学習診断 家庭教師のトライ
中国の肌診断 Meituがai駆使した店舗向け機器を開発 進化し続ける性能 Beautytech Jp
Aiを用いた画像診断システムの共同開発 Mnes
Nttデータ Aiで大動脈瘤の画像診断を支援 2万7000人のct画像を利用 Itmedia News
Aiを活用した医用画像診断支援システム Cad 株式会社マイクロン Molecular Imaging Cro Network
ふるえ診断ai 株式会社デンサン
Http Www Musashiurawa Jp Ca61ab5968c30deefad53cea643a8de0e5 Pdf
新型コロナウイルス肺炎の診断を支援するai技術の共同研究開発を開始 富士通
人工知能 胃がん診断のai開発 画像2000枚 1分で 発症正答率92 2 毎日新聞
日本企業の画像診断支援ai開発 18 エルピクセル Imacel Academy 人工知能 画像解析の技術応用に向けて エルピクセル株式会社
競争激化 医用画像診断支援aiのアプリケーション プラットフォーム一覧 株式会社aldock馬渕 Note
人工知能画像診断学 大阪大学医学系研究科 医学部
Aiを活用した皮膚疾患診断サポートシステムの共同研究を開始 医療機器の製造 開発 展示会 セミナー Medtec Japan 東京ビッグサイト
Ai病院 の実装に向けたプロジェクトを開始 内閣府らが立ち上げ Zdnet Japan
新型コロナに挑む人工知能 Ai の戦い 診断支援から創薬 フェイクニュース監視まで ビジネス It
Ntt Data Services 新型コロナウイルス画像診断ai向け学習用データの無償提供開始 Iot News
教育ai賞受賞 トライ式ai学習診断 家庭教師のトライ
Ai医療事例6選 診断サポートから予防医療 介護まで 医療現場にどう浸透するか Ledge Ai
ふるえ診断ai 株式会社デンサン
高難度診断に ai 活用へ 血液病 mds 形態異常を学習 福島民友ニュース 福島民友新聞社 みんゆうnet
Ai活用の超音波診断 以上の疾患の診断補助に 検査精度の低下を防ぐ 36kr Japan 最大級の中国テック スタートアップ専門メディア
新型コロナウイルス肺炎の診断を支援するai技術の共同研究開発を開始 富士通
ギャツビー 写真が与える印象をai診断する 第0 だいぜろ 印象シミュレーター 公開 Markezine マーケジン
Ai重点領域 診断 治療 画像診断支援など6分野 医療維新 M3 Comの医療コラム
Ai 人工知能 活用した診断 治療 最終責任は医師が負うべき 厚労省 Ai活用推進懇談会 Gemmed データが拓く新時代医療
歯科医師の約6000倍の速さでx線画像読影ができる診断aiを開発 Monoist
cvイメージングサイエンス及び医療法人社団cvic Infervision 北京推想科技有限公司 と医用画像診断に関わるai診断アシストシステム開発に関するアドバイザリー契約を締結 放射線科情報ポータル Rad Fan Online ラドファン オンライン 医学出版社メディカルアイ
Aiがキャリアシナリオを診断 提示するアプリ View 正式ローンチ Techcrunch Japan
加速するaiによる画像診断支援のいまに迫る Medical Dx
ホームページ脆弱性診断 Ai診断 さくら情報システム
Nttドコモのaiゴルフスイング診断アプリ Golfai がリリース ゴルフサプリ
特集 日本初の技術 レントゲン写真で骨折かどうか Ai診断 愛知の医師らが開発 専門医と同じレベル
自治医大発ベンチャー Deepeyevision 眼科向けai診断支援ソリューションを提供開始
徳洲会グループとシーメンスヘルスケア 画像診断支援aiを共同研究 検体検査工程の完全自動化などもに 徳洲会グループ
医療aiで病気を早期発見 画像解析での医療検診ツール Zebra Ledge Ai
Aiを搭載した画像診断支援ソリューションがcovid 19の診断支援に貢献 Nttデータ
疾病リスク予測 東芝ai技術カタログ
医療ai画像診断の Biomind 中国初の診断支援用途で認可を取得 36kr Japan 最大級の中国テック スタートアップ専門メディア
あなたはaiが診断する病院にかかりたいですか 先端科学 研究開発 東洋経済オンライン 経済ニュースの新基準
弊社医療画像診断支援ソフトウェアの研究 開発が エムスリー株式会社の エムスリーaiラボ に採択されました エルピクセル株式会社
デジタルvs 肺炎診断 アリババai 日本でも先行 無料提供 国産 出遅れ 毎日新聞
Aiを搭載した画像診断支援ソリューションがcovid 19の診断支援に貢献 Nttデータ
囲碁の次は ai乳がん診断 ディープマインド社が研究 朝日新聞デジタル
Aiで大腸内視鏡画像を解析する 内視鏡画像診断支援ソフトウェアを発売 Monoist
Ai事前診断 ネット住宅ローン事前診断 みずほ銀行
医療診断支援ai 主導権狙う富士フイルム ニュースイッチ By 日刊工業新聞社
インフラマネジメント Ntt西日本 Aiを活用した道路路面診断ソリューションを提供開始 車で走る だけで診断と視える化が完了 インフラト
国内初承認の Ai診断支援ソフト ができるまで 日経 Xtech クロステック
Ai とディープラーニングが超音波によるがん診断を可能に Nvidia
Aiを活用したリアルタイム内視鏡診断サポートシステム開発 大腸内視鏡検査での見逃し回避を目指す 17年7月10日 プレスリリース Nec
訴訟を未然に防ぐ死亡時画像病理診断 Ai の活用について 医療安全推進者ネットワーク
そっくりさん Aiが似てる有名人を診断 Google Play のアプリ
Ai画像診断支援プログラム本格導入へ 集中出版 Shuchu Publishing
画像診断へのai活用に向けて事業提携 医療機器の製造 開発 展示会 セミナー Medtec Japan 東京ビッグサイト
人工知能 Ai で 胃がん を早期発見 98 の精度で 熟練医に匹敵 最近の関連情報 ニュース 一般社団法人 日本生活習慣病予防協会
橋梁点検業務の省力化と品質向上をaiで実現 Ai橋梁診断支援システム Dr Bridgetm 提供開始 日本ユニシスのプレスリリース 共同通信prワイヤー
日本医師会 医療の高度化支えるaiを使った診断 治療システムを22年に実装へ Digital X デジタルクロス
病人をaiで助けたい 中国の画像解析ベンチャーinfervisionが医療をテーマに選んだ理由 Digital Innovation Lab
脆弱性診断サービス サービス ソリューション Itソリューションのtis株式会社
Eirl エイル Ai画像診断支援技術 エルピクセル株式会社 Eirl エイル は Ct Mri 病理画像などの医療画像を中心に多様な医療ビックデータを活用し 独自の人工知能 Ai アルゴリズムで医療画像診断支援技術を研究開発しています 医療機器としての承認をめざし
Ascii Jp グーグルが狙う次の覇権は 医療 Aiで画像診断に革命
がん幹細胞を識別するai技術を開発 医薬品評価や病理組織診断など応用へ期待 東京工科大学 東京工科大学
Aidocとzebra Medical Vision Ai画像診断ツールでfdaの認可を追加取得 医療とaiのニュース 最新記事 The Medical Ai Times
富士フイルム 新型コロナ肺炎の診断サポートai開発へ Ct画像を自動解析 Itmedia News
写真を撮れば稲の異変がわかる Ai病害虫雑草診断アプリ配信 日本農薬 ニュース 農薬 Jacom 農業協同組合新聞
Ai最前線の現場から エクサインテリジェンス Ai 医療 とエクサエンテリジェンスの未来 Think It シンクイット
高度なファッション提案をする Ai骨格診断サービス が提供開始 Digital Shift Times デジタル シフト タイムズ その変革に勇気と希望を
中国のai診断支援システムの実力は 検証中の国内病院らが明かす期待と懸念 日経クロステック Xtech
共同通信prwire
パロアルトインサイト Palo Alto Insight Llc
スマートフォン用アプリ レイミーのai病害虫雑草診断
Mit Tech Review 新型コロナ診断にai活用 Pcr検査遅れが後押し
Aiによる心臓mriなどの画像診断支援に向けた共同研究開発を開始 医療機器の製造 開発 展示会 セミナー Medtec Japan 東京ビッグサイト


